El Día Mundial contra la Neumonía se celebra cada 12 de noviembre (World Pneumonia Day). Es una jornada global para llamar la atención sobre la neumonía —una infección respiratoria que sigue siendo una de las principales causas de muerte prevenible, sobre todo en niños pequeños y en adultos mayores—, promover medidas de prevención (vacunación, lactancia, saneamiento, acceso a atención) y exigir inversiones que reduzcan su carga. Esta fecha fue establecida por organizaciones de la sociedad civil y actores sanitarios internacionales para consolidar la voz de quienes trabajan en prevención y tratamiento de esta enfermedad.
Neumonía
Es la inflamación del parénquima pulmonar causada por agentes infecciosos —bacterias (ej. Streptococcus pneumoniae), virus (influenza, SARS-CoV-2, VRS), hongos y otros— que producen consolidación alveolar y alteración del intercambio gaseoso. Tras la entrada del patógeno (vía inhalación o por aspiración), se desencadena una respuesta inflamatoria local. La acumulación de exudado, células inflamatorias y moco dificulta la oxigenación y puede evolucionar a insuficiencia respiratoria si el proceso es extenso o el paciente tiene comorbilidades.
Datos clínicos, complicaciones y pronóstico
Signos y síntomas frecuentes: fiebre, tos con o sin esputo, dificultad para respirar, dolor torácico pleurítico, taquipnea (en niños: aleteo nasal, retracción costal). En adultos mayores los síntomas pueden ser atípicos (confusión, caída del estado general). Complicaciones importantes: empiema, absceso pulmonar, sepsis, insuficiencia respiratoria e insuficiencia multiorgánica. El pronóstico depende de la edad, comorbilidades (EPOC, insuficiencia cardiaca, inmunosupresión), agente causal y la rapidez con que se inicie tratamiento adecuado (antibiótico o manejo de soporte). En general, la mortalidad es mayor en lactantes, adultos >70 años y personas con comorbilidades.

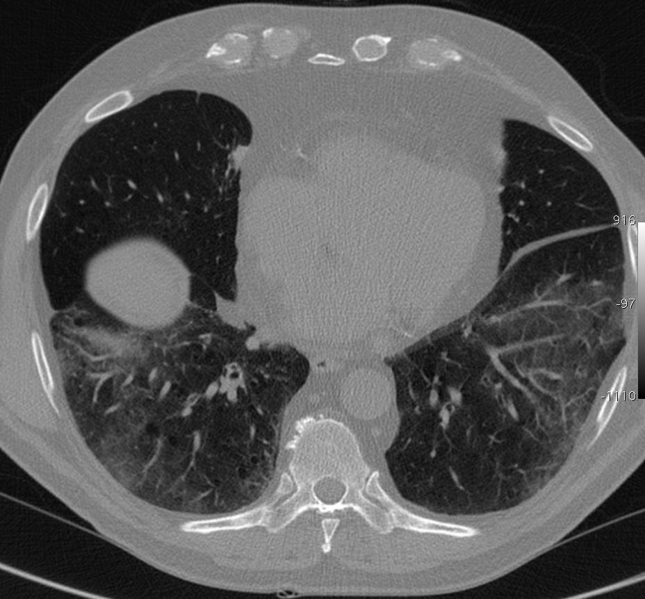
Foto por Mluisamtz11 (neumonía intersticial) – Own work, CC BY-SA 3.0.
Estadísticas de importancia
Mundial: Aunque la mortalidad infantil por neumonía ha descendido en las últimas décadas, la neumonía sigue siendo la principal causa infecciosa de muerte en niños menores de 5 años y millones de episodios sintomáticos cada año; tomando en cuenta edades mayores, las estimaciones globales de muertes por neumonía alcanzan cifras del orden de 1–2 millones anuales según distintas fuentes y modelos como el Global Burden of Disease. Estas muertes son en su mayoría prevenibles con intervenciones ya disponibles.
Región de las Américas: En la Región de las Américas la neumonía continúa causando morbilidad y mortalidad especialmente en grupos vulnerables (niños pequeños, ancianos, poblaciones indígenas o rurales con barreras de acceso). La OPS/PAHO mantiene programas de vigilancia de infecciones respiratorias agudas y destaca la importancia de cobertura vacunal (neumococo, influenza, VRS en el futuro).
México: La influenza y neumonía son causas importantes de mortalidad; informes recientes ubican a estas entre las principales causas de defunción en años recientes, con decenas de miles de muertes por neumonía/influenza en periodos anuales en momentos de mayor actividad respiratoria o cuando la cobertura de vacunación disminuye.
Importancia histórica del tema
La neumonía ha sido históricamente una de las principales causas de muerte infecciosa. Antes del advenimiento de los antibióticos y de las vacunas, la mortalidad por neumonía era mucho mayor. En la segunda mitad del siglo XX las vacunaciones (conjugadas contra S. pneumoniae y Haemophilus influenzae tipo b), la disponibilidad de antibióticos eficaces, la mejora en nutrición y la atención hospitalaria han reducido drásticamente la mortalidad infantil. Sin embargo, brotes epidémicos (influenza, virus emergentes) y brechas en cobertura vacunal o acceso al tratamiento pueden revertir avances, lo que explica por qué la conmemoración y la vigilancia siguen siendo necesarias.
Derechos humanos y legislación
El derecho a la salud (reconocido en instrumentos internacionales y en constituciones nacionales) implica la obligación de los Estados de garantizar acceso a intervenciones esenciales: vacunación, atención primaria, diagnóstico y tratamiento oportuno, y acceso a medidas preventivas que protejan a la infancia y a los grupos vulnerables. En México, la Ley General de Salud y normas oficiales regulan programas de vacunación, vigilancia epidemiológica y acciones de control.
Avances actuales, riesgos y perspectivas
Avances importantes
Vacunación: la introducción y extensión de vacunas conjugadas contra Streptococcus pneumoniae (PCV) y contra Haemophilus influenzae tipo b han reducido hospitalizaciones y muertes por neumonía infantil en muchos países; las vacunas antigripales anuales reducen complicaciones por influenza.
Mejoras en atención primaria: protocolos de diagnóstico y manejo (incluyendo acceso a antibióticos orales/iv apropiados, oxígeno suplementario y soporte básico) y programas comunitarios para el reconocimiento temprano han demostrado impacto.
Tecnología y oxígeno: mayor disponibilidad de terapias de soporte (oxigenoterapia, equipos de flujo alto) y pautas para su uso en entornos de recursos limitados mejoran supervivencia.

Riesgos actuales
Caída en coberturas vacunales: la pandemia y la desatención de programas preventivos han dejado cohortes de niños con esquemas incompletos en varios países, lo que aumenta la vulnerabilidad.
Resistencia antimicrobiana: el aumento de resistencia bacteriana complica tratamientos empíricos y requiere vigilancia y uso racional de antibióticos.
Nuevos agentes y co-infecciones: virus respiratorios emergentes (incluidos subtipos aviares) y la coexistencia con influenza o VRS pueden aumentar mortalidad por neumonía grave.
Perspectivas a futuro
Reducir la carga de neumonía exige: recuperar y mejorar coberturas vacunales (PCV, influenza, pertussis, COVID según indicación); ampliar el acceso a atención primaria de calidad (diagnóstico precoz, antibióticos adecuados, oxígeno); fortalecer la vigilancia y capacidad de respuesta frente a brotes y; combatir la resistencia antimicrobiana.
Importancia de la divulgación científica del tema
La divulgación científica traducida a mensajes claros permite que las familias reconozcan signos de alarma y busquen atención temprana; reducir la desinformación sobre vacunas y tratamientos; impulsar políticas públicas informadas y mantener la prioridad política del tema; educar sobre medidas sencillas (lactancia materna, higiene, evitar el humo de tabaco en casa, ventilación) que previenen infecciones.
¿qué puede hacer cada persona?
- Asegura que la cartilla de vacunación de tus hijos esté completa (incluyendo la vacuna antineumocócica si está en el esquema nacional).
- Busca atención médica si hay fiebre alta, dificultad respiratoria o decaimiento importante, especialmente en bebés y adultos mayores.
- Evita el humo de tabaco en espacios cerrados y promueve lactancia materna exclusiva en los primeros 6 meses.
Referencias
- World Health Organization. (s. f.). Pneumonia. WHO. https://www.who.int/health-topics/pneumonia.
- UNICEF. (2024). Pneumonia in children — key facts and statistics. UNICEF Data. https://data.unicef.org/topic/child-health/pneumonia/.
- Pan American Health Organization / World Health Organization. (s. f.). Pneumococcus and pneumonia — PAHO resources. https://www.paho.org/en/topics/pneumococcus.
- Institute for Vaccine Access / IVAC (Johns Hopkins). (2024). Pneumonia progress reports and vaccine impact analyses (GAPPD/IVAC). https://publichealth.jhu.edu/resources.
- Cilloniz, C., & Torres, A. (2024). Fighting pneumonia and antimicrobial resistance. Clinical Microbiology and Infection, (review). https://www.ncbi.nlm.nih.gov/pmc/articles/PMC11622429/.
- Instituto Nacional de Estadística y Geografía (INEGI). (2024). Estadísticas de defunciones registradas (EDR) — datos preliminares 2024. https://www.inegi.org.mx.
Foto de portada por Mikael Häggström, M.D. – Own work, CC0.